'임플란트 틀니'에 대해 알고 계시나요? 임플란트와 틀니는 약해진 자연치아를 대신하는 인공치아로 우리의 윤택한 노후에 매우 도움이 되는 보철치료입니다. 하지만 각각의 장단점도 명확하죠. 임플란트는 긴 치료 기간과 높은 금액이 부담스러울 수 있고, 틀니는 짧은 시간 안에 다수의 치아를 대신할 수 있지만 오랜 시간 사용하면 잇몸이 눌리거나 소실되는 통증이 올 수 있습니다. 이 두 가지 치료 방법의 장점은 결합하고 단점은 보완한 임플란트 틀니 시술을 받은 환자분의 케이스를 소개해 드리겠습니다.

임플란트 틀니는, 앞쪽 잇몸에 임플란트를 2~4개만 식립하고 바(bar)나 자석, 똑딱단추와 같은 연결 장치를 사용하여 틀니를 끼우면 입안에서 틀니가 빠질 염려가 없어 질긴 음식도 한결 씹기가 편해지며, 임플란트 식립 개수가 적은 만큼 비용 부담도 적어집니다.

에스플란트 치과병원에서 임플란트 틀니를 진행한 환자분의 케이스를 소개해 드리도록 하겠습니다.
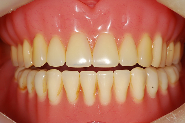
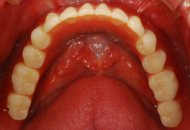
상하악의 치아가 전혀 없는 완전 무치악 환자분이셨습니다.

임플란트 틀니에도 세 가지 방법이 있는데 똑딱이, 바(bar) 타입, 고정식 임플란트 브릿지 + 부분 틀니 중에 바 타입으로 진행하셨습니다. 이러한 바 타입 틀니는 치아가 하나도 없는 완전 무치악 환자의 경우이거나 인중이 많이 주저앉아 나이 들어 보이는 분들에게 주로 권유하고 있습니다.


또는 잇몸뼈가 너무 없어서 임플란트가 불가능하다고 판단된 경우에 임플란트 수술은 어렵지만 바 타입 부분틀니를 사용함으로써 상당히 높게 심미성과 기능성을 복구할 수 있습니다.

고령의 완전 무치악 환자분이시다 보니 원래는 틀니를 사용하셨으나 잇몸이 너무 아프고 점점 틀니가 쉽게 빠져서 본원을 찾아주신 사례였습니다. 처음 내원하셨을 때의 모습은 상상도 되지 않는 심미성 높은 치아에 크게 만족하셨습니다. 이제는 식사도 편하게 할 수 있어서 너무 기쁘다는 말씀에 저희 모두 굉장히 뿌듯했습니다.
다수의 치아를 상실한 채로 방치하면 입 주변에 주름이 더 많아지게 되며 이로 인해 한층 더 나이 들어 보이는 모습이 됩니다. 오늘 소개해 드린 환자분도 본원에서 치료를 완료한 후 10살은 더 젊어 보이게 되었답니다.

치아를 상실했을 때 무조건 임플란트나 틀니로만 치료를 해야 하는 것은 아닙니다. 이 두 가지 치료의 장점은 모으고, 단점은 보완한 임플란트 틀니를 통해 합리적인 가격으로 심미성과 기능성을 회복하시기 바랍니다.





'한국어 > 임플란트' 카테고리의 다른 글
| 부러진 치아 에스플란트의 임플란트로 심미성 회복한 케이스 (0) | 2023.03.13 |
|---|---|
| 높은 강도가 중요한 어금니 임플란트, 에스플란트에서 진행한 케이스 (0) | 2023.03.13 |
| 임플란트 치료가 중단된 환자분, 에스플란트에서 심미성 회복 (0) | 2023.03.07 |
| 치주염이 심하게 진행된 경우 임플란트 치료 및 치료기간에 대하여 (0) | 2023.03.03 |
| 선천적으로 앞니가 없던 환자분, 교정과 심미보철을 통해 자연스럽게 회복! (0) | 2023.03.03 |